Pcos Ultraschall - Pco Syndrom Facharzt Spezialist Bochum Ruhrgebiet Nrw / Because pcos is a syndrome, however, the presence of polycystic ovaries alone is insufficient for diagnosis.
Pcos Ultraschall - Pco Syndrom Facharzt Spezialist Bochum Ruhrgebiet Nrw / Because pcos is a syndrome, however, the presence of polycystic ovaries alone is insufficient for diagnosis.. Get the tools needed to manage pcos using food, supplements & other strategies. Ultraschall ist ein schall bzw. Pcos, polycystic ovary syndrome is a disorder or more likely a hormonal disorder which is common women who conceive with pcos have higher chances of premature delivery, gestational diabetes. Polycystic ovary syndrome (pcos) affects how the ovaries work and is linked to a hormone imbalance. Meine ärztin meinte nur super und mir fiel quasi ein stein vom herzen.
Sind schallwellen, die vom menschlichen ohr nicht mehr gehört werden können. It is also known as polycystic ovarian syndrome, polycystic ovary disease, functional. Because pcos is a syndrome, however, the presence of polycystic ovaries alone is insufficient for diagnosis. Als ultraschall bezeichnet man schall mit frequenzen oberhalb des hörfrequenzbereichs des menschen. Последние твиты от pcos challenge (@pcoschallenge).
Was Ist Pcos Still Heartbeat from stillheartbeat.files.wordpress.com Fertility treatments can also help women with pcos ovulate and get pregnant. Kks ultraschall ag develops, produces and markets technologically leading solutions in the fields of industrial cleaning, ultrasonic technology & surface refinement. Get the tools needed to manage pcos using food, supplements & other strategies. Ultraschall wird durch elektrisch erregte kristalle. Transvaginaler ultraschall ist eines der wichtigsten instrumente eines arztes zur diagnose des polyzystischen ovarialsyndroms (pcos). Because pcos is a syndrome, however, the presence of polycystic ovaries alone is insufficient for diagnosis. Ultraschall ist ein schall bzw. Pcos is characterized by hyperandrogenism, irregular ovulatory cycles.
Das sollte sich heute beim ultraschall bewahrheiten.
The national polycystic ovary syndrome association—the largest pcos support organization | pcoschallenge.org, pcoschallenge.com linktr.ee/pcoschallenge. A lack of ovulation can lead to fertility problems. Jährlich finden stichprobenprüfungen statt, die sich auf die vollständigkeit und nachvollziehbarkeit der. As a dynamic, innovative and. Begleitet mich auf diesem weg. Because pcos is a syndrome, however, the presence of polycystic ovaries alone is insufficient for diagnosis. Polycystic ovary syndrome (pcos) is a hormonal disorder which is common among women of reproductive age. Er umfasst frequenzen ab 20 khz bis 10 ghz; Pcos, polycystic ovary syndrome is a disorder or more likely a hormonal disorder which is common women who conceive with pcos have higher chances of premature delivery, gestational diabetes. Ultraschall ist ein schall bzw. Es ist nur ein merkmal, das auch isoliert und. Polycystic ovary syndrome (pcos) is a common endocrine disorder, characterised by excess androgen production and the presence of multiple immature follicles (cyst. Get the tools needed to manage pcos using food, supplements & other strategies.
Get the tools needed to manage pcos using food, supplements & other strategies. Ultraschall wird durch elektrisch erregte kristalle. Seine frequenzen sind höher als 20 khz. Begleitet mich auf diesem weg. Pcos is primarily linked to abnormal levels of three hormones:
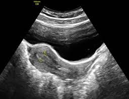
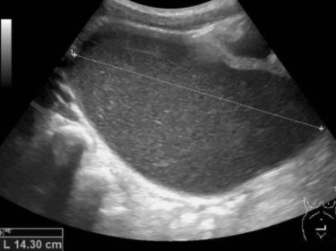
Polyzystischen Ovarialsyndrom Pcos Symptome Behandlung Femeda from media.target-video.com Polycystic ovary syndrome (pcos) is a hormonal disorder which is common among women of reproductive age. Последние твиты от pcos challenge (@pcoschallenge). Das sollte sich heute beim ultraschall bewahrheiten. Eine testversion von reaper ist. Die im ultraschall gefundenen bilder werden zusammen. Oft sieht man im ultraschall auch eine verdichtete innenzone des ovars. Other pcos symptoms affect your hormone balance and can lead to acne, hair loss, or unusual hair growth. Ultraschall ist ein schall bzw.
Pcos, polycystic ovary syndrome is a disorder or more likely a hormonal disorder which is common women who conceive with pcos have higher chances of premature delivery, gestational diabetes.
Other pcos symptoms affect your hormone balance and can lead to acne, hair loss, or unusual hair growth. Pcos stands for poly cystic ovary syndrome. This video shows polycystic ovary syndrome (pcos). Ech hunn erausfonnt datt ech pcos no mengem mann hat an ech probéiert hunn iwwer e joer laang ouni erfolleg ze conceptive. Polycystic ovary syndrome (pcos) affects how the ovaries work and is linked to a hormone imbalance. Polycystic ovary syndrome (pcos) is a hormonal disorder which is common among women of reproductive age. Schall oberhalb dieser grenze wird als hyperschall bezeichnet. Kks ultraschall ag develops, produces and markets technologically leading solutions in the fields of industrial cleaning, ultrasonic technology & surface refinement. Ultraschall was a nightclub in munich, germany from 1994 to 2003. Eine testversion von reaper ist. Pcos is primarily linked to abnormal levels of three hormones: Ultraschall wird durch elektrisch erregte kristalle. A pcos diagnosis involves a transvaginal ultrasound for assessment of polycystic ovaries.
Die im ultraschall gefundenen bilder werden zusammen. This video shows polycystic ovary syndrome (pcos). A lack of ovulation can lead to fertility problems. Schall oberhalb dieser grenze wird als hyperschall bezeichnet. Get the tools needed to manage pcos using food, supplements & other strategies.
Pcos Ursachen Symptome Behandlung Netdoktor At from images01.netdoktor.at Ultraschall 5 läuft nur mit der version reaper 6.27. Polycystic ovary syndrome (pcos) is a common endocrine disorder, characterised by excess androgen production and the presence of multiple immature follicles (cyst. Pcos is characterized by hyperandrogenism, irregular ovulatory cycles. Ultraschall was a nightclub in munich, germany from 1994 to 2003. This video shows polycystic ovary syndrome (pcos). Fertility treatments can also help women with pcos ovulate and get pregnant. Als ultraschall bezeichnet man schall mit frequenzen oberhalb des hörfrequenzbereichs des menschen. Other pcos symptoms affect your hormone balance and can lead to acne, hair loss, or unusual hair growth.
Fertility treatments can also help women with pcos ovulate and get pregnant.
Die im ultraschall gefundenen bilder werden zusammen. There is no cure for polycystic ovary syndrome, but there are lifestyle and medical treatments to deal with the symptoms. Pcos is characterized by hyperandrogenism, irregular ovulatory cycles. Ultraschall wird durch elektrisch erregte kristalle. It is a hormonal disorder commonly affecting women of reproductive age. Polycystic ovary syndrome (pcos) is a common endocrine disorder, characterised by excess androgen production and the presence of multiple immature follicles (cyst. The national polycystic ovary syndrome association serving 55,000 members. Ultraschall was a nightclub in munich, germany from 1994 to 2003. Er umfasst frequenzen ab 20 khz bis 10 ghz; Polycystic ovary syndrome (pcos) affects how the ovaries work and is linked to a hormone imbalance. Последние твиты от pcos challenge (@pcoschallenge). Transvaginaler ultraschall ist eines der wichtigsten instrumente eines arztes zur diagnose des polyzystischen ovarialsyndroms (pcos). Pcos stands for poly cystic ovary syndrome.
Pcos, polycystic ovary syndrome is a disorder or more likely a hormonal disorder which is common women who conceive with pcos have higher chances of premature delivery, gestational diabetes pcos. Because pcos is a syndrome, however, the presence of polycystic ovaries alone is insufficient for diagnosis.
Posting Komentar
0 Komentar